
Chegou o método que transforma sua consulta de entrega.
Rápida, precisa, leve — e finalmente livre dos ajustes intermináveis.
Se você já colocou uma placa perfeita no articulador e encontrou um desastre na boca do paciente, você sabe:
não existe frustração maior.
Não existe sensação mais desconfortável do que tentar corrigir, ajustar, lixar… enquanto o paciente observa, esperando que tudo funcione.
Mas o problema nunca foi você.
O problema sempre foi o método.
Os registros imprecisos, as alturas arbitrárias, as posições artificiais — nada disso representa a verdadeira parada espacial da mandíbula.
O DVR-Sensy foi criado para romper esse ciclo.
É o único protocolo clínico capaz de capturar o negativo volumétrico 3D real da DVR, devolvendo ao cirurgião-dentista o controle que há anos foi perdido.
Com essa precisão, o técnico finalmente recebe a referência que precisa — e a placa nasce praticamente pronta para a boca do paciente.
Sem tensões.
Sem desgaste emocional.
Sem retrabalho.
Com o DVR-Sensy, você passa a oferecer:
consultas mais rápidas e fluidas,
entregas com mínima ou nenhuma necessidade de ajustes,
pacientes mais confiantes e satisfeitos,
e uma experiência clínica que revela excelência desde o primeiro minuto.
Este curso não ensina apenas uma técnica.
Ele devolve ao dentista algo que muda sua prática:
tranquilidade, autoridade e a sensação de dominar o processo do início ao fim.
Se você quer elevar sua odontologia, valorizar sua consulta e viver uma nova experiência em placas oclusais,
bem-vindo ao DVR Sense.



O DVR-SENSY revela a DVR e captura o negativo volumétrico 3D Verdadeiro


Domine o método que possibilita a construção de placas para bruxismo, balanceadas, funcionais e confortáveis.
Acabe com sua rotina desgastante de ajustes intermináveis na consulta de entrega, e reduza a praticamente zero o retrabalho.
O protocolo DVR-Sensy não é apenas usar um dispositivo.
Ele é a transferência de uma tecnologia, que quando utilizada dentro de um protocolo, devolve ao cirurgião-dentista aquilo que sempre foi dele:
A capacidade de capturar, compreender e replicar a posição espacial verdadeira da mandíbula em repouso.
Este molde é o ponto de partida para algo maior.
É com ele que você irá construir seu próprio DVR-Sensy, registrar o negativo volumétrico 3D da DVR, e transformar esse registro no parâmetro mais preciso já disponível para a confecção de placas de bruxismo.
Ao utilizar o método, você descobrirá que:
• A DVR deixa de ser uma suposição e passa a ser medida fisiológica.
• O articulador deixa de ser um simulador e passa a ser um reprodutor fiel da posição capturada.
• As placas deixam de nascer com erro e passam a ser entregues prontas, leves e previsíveis.
Este é o começo de uma nova fase da sua odontologia — mais técnica, mais precisa, mais valorizada e infinitamente mais gratificante.




"O NEGATIVO 3D DA DVR"
A DVR é a posição em que a mandíbula repousa naturalmente, em equilíbrio neuromuscular, quando os músculos elevadores e depressores estão em tônus mínimo. Não é força, não é contato, não é intercuspidação. É o espaço fisiológico — sutil, individual, dinâmico — que separa os dentes superiores dos inferiores quando o corpo encontra descanso.
Esta posição de repouso, configura um vazio volumétrico 3D, que não pode ser medido por dimensões lineares.

"A ARMADILHA"
A grande armadilha é acreditar que O ESPAÇO VOLUMÉTRICO 3D resultante da parada espacial da mandíbula em DVR pode ser medida como um número. Não pode.
O ESPAÇO VOLUMÉTRICO 3D não é 2, 3 ou 4 milímetros — é um espaço neuromuscular vivo, mutável, pessoal, que se manifesta em cada paciente de forma única
Tentar impor uma "altura" para uma placa, com corpos estranhos, dispositivos pré fabricados ou cálculos arbitrários é como tentar medir silêncio com uma régua: uma contradição em si
Esta posição de repouso, configura um vazio volumétrico 3D, que não pode ser medido por dimensões lineares.

DIMENSÃO VERTICAL DE REPOUSO (DVR)
É o estado de repouso, determinado pelo silêncio neuromuscular do paciente.
O parâmetro para a construção NÃO é a DVR.
É O NEGATIVO volumétrico 3D resultante da posição em DVR



“A DOR QUE TODO DENTISTA JÁ SENTIU”
Por que sua placa ficou perfeita no articulador… e completamente errada na boca?
O problema não está no técnico.
Não está no articulador.
Não está no laboratório.
O problema está no espaço volumétrico 3D que você forneceu para o laboratório trabalhar.
Toda placa de bruxismo é construída dentro de um volume tridimensional.
Esse volume é determinado exclusivamente pelo método que você utilizou para “registrar” a posição espacial da mandíbula.
Se o registro é falso, o volume é falso.
Se o volume é falso, a placa nasce condenada.
E não existe balanceamento capaz de salvar uma placa construída dentro de um espaço 3D que não representa a mandíbula real do paciente.
Agora, vamos revelar — método por método — onde está o erro.

MÁXIMA INTERCUSPIDAÇÃO HABITUAL (MIH) + ARTICULADOR SEMI-AJUSTÁVEL
Qual é o espaço volumétrico 3D capturado por esse método?
Nenhum que pertença ao paciente.
Nenhum que represente sua fisiologia.
O método começa em Máxima Intercuspidação Habitual, que não tem relação com repouso mandibular — é apenas o resultado do hábito, da força e do encaixe dentário.
A partir desse modelo rígido, quem “define” o espaço volumétrico negativo não é o paciente:
é o técnico, que abre o articulador e inventa um espaço.
Ele abre “um pouco”, “dois milímetros”, “três milímetros”, “do jeito que o dentista pediu”, SEM qualquer referência anatômica, fisiológica ou tridimensional real do paciente.
Por que esse espaço é falso e distorcido?
Porque nenhum articulador do planeta consegue replicar o giro fisiológico da mandíbula, sua parada natural em repouso ou a trajetória tridimensional determinada pela musculatura.
O técnico abre o articulador…
Mas ele não está abrindo a mandíbula do paciente.
Está abrindo uma máquina.
Consequência direta
O espaço volumétrico 3D criado por esse método é:
artificial,
inventado,
desconectado da biologia,
sem referência espacial real,
e totalmente distorcido.
É o negativo volumétrico mais falso entre todos os métodos existentes.
O que isso causa na placa?
A placa nasce perfeita no articulador.
Linda. Balanceada. Lisinha.
Mas ao entrar na boca, ela revela o que realmente é:
um dispositivo construído dentro de um espaço 3D que não pertence ao paciente.
O resultado clínico é sempre o mesmo:
distorções graves,
balanceamento impossível,
ajustes intermináveis,
retrabalho,
desgaste profissional,
perda de confiança do paciente.
A verdade nua e crua
O MIH + articulador semi-ajustável é, clinicamente,
o pior método de todos,
porque parte da referência mais pobre e usa o instrumento menos capaz de replicar a fisiologia.
Ele não capta repouso.
Ele não capta giro.
Ele não capta trajetória 3D.
Ele não capta nada que importe.
E por isso entrega placas que já nascem condenadas.





GUIA ANTERIOR DE MORDIDA — O APOIO RÍGIDO QUE DISTORCE A PARADA 3D DA MANDÍBULA
Que espaço volumétrico 3D esse método realmente captura?
O GIG tenta capturar a posição mandibular de repouso forçando a mandíbula a parar sobre um apoio rígido anterior colocado na região dos incisivos, geralmente com um tempo de presa ou estabilização.
Mas a mera “espera” do paciente nessa posição já altera profundamente sua fisiologia.
Onde está o erro central?
Essa sustentação anterior:
induz instabilidade,
gera fadiga posicional,
altera o tônus muscular,
modifica a trajetória natural do giro mandibular,
e impede a parada tridimensional real e espontânea da mandíbula.
Ou seja:
o dispositivo anterior cria uma posição — ele não revela nenhuma posição fisiológica.
Por que isso gera um negativo volumétrico distorcido?
Porque ao apoiar a mandíbula num ponto rígido e artificial, o método captura um volume que:
não pertence ao repouso real,
não reflete o relaxamento muscular fisiológico,
não representa a trajetória 3D verdadeira do paciente,
e é totalmente dependente do esforço involuntário que o paciente faz para “se manter” naquela posição.
O GIG registra um instante de adaptação, não um estado fisiológico.
O que acontece quando essa placa chega no consultório?
O negativo volumétrico falso revelado pelo dispositivo anterior se evidencia imediatamente:
toque onde não deveria,
ausência onde deveria haver suporte,
placa alta, dura, desconfortável,
instabilidade lateral,
e grande dificuldade de ajuste clínico.
O resultado clínico
Assim como os outros métodos artificiais, o GIG leva ao mesmo ciclo:
distorções severas,
necessidade de retrabalho,
sessões longas e desgastantes,
paciente frustrado,
dentista exausto,
e uma placa que nunca deveria ter nascido daquele registro.
A verdade
Um apoio rígido anterior não revela repouso.
Não revela trajetória 3D.
Não revela fisiologia.
Ele cria um negativo volumétrico distorcido — e toda placa construída a partir dele já nasce condenada ao erro



PALETAS DE MORDIDA — O ESPAÇO 3D QUE NASCE DO ARBÍTRIO, NÃO DA FISIOLOGIA
O que a paleta realmente faz?
A paleta de mordida é um objeto rígido colocado entre os dentes posteriores para que o paciente “estabeleça” uma mordida sobre ela.
E é justamente aí que o método colapsa.
Quem define a altura?
Não é o paciente.
Não é sua fisiologia.
É o dentista — pelo próprio gosto, pela experiência, por tentativa e erro ou, muitas vezes, pela sensação subjetiva de que “1 mm é bom” ou “2 mm parecem adequados”.
Por que isso já começa errado?
Porque o momento em que o paciente morde a paleta não é repouso.
É um reflexo instintivo de oclusão, de fechamento, de alimentação.
A musculatura ativa, aperta, estabiliza forçadamente — exatamente o oposto da posição de repouso neuromuscular.
Ou seja:
o valor capturado não tem relação alguma com a posição mandibular que o paciente ocupará durante o sono com sua placa.
E ainda há outro problema crítico: a imobilização
Para “congelar” essa posição falsa, o método usa:
elastômeros,
siliconas pesadas,
materiais de moldagem,
tempos longos de posição estática,
manipulação excessiva da mandíbula.
Cada um desses passos gera novas distorções — e elas se somam.
A altura é arbitrária.
A mordida é instintiva.
A imobilização é imprecisa.
O tempo em posição é artificial.
A musculatura reage.
O giro fisiológico desaparece.
O que é revelado no articulador?
Um negativo volumétrico 3D contaminado por erros em todas as etapas.
Um espaço que não pertence ao paciente.
Um repouso que nunca existiu.
Uma posição espacial inventada durante a manipulação.
O resultado clínico é sempre o mesmo
A placa nasce dentro de um volume falso.
E ao chegar ao consultório, ela:
não assenta,
não estabiliza,
não se equilibra,
exige ajustes intermináveis,
castiga o dentista,
frustra o paciente.
A verdade final
O método da paleta de mordida replica, quase todas as vezes, um negativo volumétrico errado —
e produz placas que já nascem distorcidas.
É um método que falha em todas as etapas:
na escolha da altura, na captura da mordida, na imobilização e na replicação.
Ele não revela repouso.
Ele cria um repouso falso.
E paga-se um preço alto por isso na consulta de entrega.



FLUXO DIGITAL + ARTICULADOR VIRTUAL
Que espaço volumétrico 3D o digital define?
Um espaço simulado.
Uma estimativa matemática.
Um “repouso digital” que não existe na biologia.
Por que é falso?
Porque não há captura de trajetória 3D real.
Não há gravidade.
Não há musculatura.
O software adivinha.
Como isso contamina a placa?
A placa é perfeita na tela…
mas nasce sem ligação com o repouso fisiológico do paciente.
Resultado clínico
Mais erros do que os métodos tradicionais.
Tempo perdido.
Desgaste.
Retrabalho.
Frustração.





Por que o DVR-Sensy se comporta de forma diferente
Os métodos clássicos de determinação da dimensão vertical de repouso (DVR) baseiam-se no uso de corpos interoclusais — dispositivos como jig, ASA, MIH ou paletas de mordida.
A lógica subjacente é aparentemente simples: interpor um material entre as arcadas, induzir o fechamento mandibular e registrar a posição obtida.
No entanto, do ponto de vista fisiológico, essa metodologia apresenta limitações fundamentais.
A inserção de qualquer corpo estranho entre as arcadas modifica a dinâmica neuromuscular do fechamento mandibular.
Essa interferência altera o feedback proprioceptivo dos mecanorreceptores periodontais e musculares, a trajetória condilar e o eixo de rotação mandibular, além do padrão de ativação da musculatura elevadora.
Como consequência, o que se registra não é o repouso fisiológico, mas uma posição induzida, uma resposta adaptativa do sistema neuromuscular diante de um estímulo mecânico externo.
O DVR-Sensy foi desenvolvido para superar essas limitações por meio de uma abordagem sensório-fisiológica controlada.
Embora seja um dispositivo posicionado entre as arcadas, sua função é substancialmente distinta dos métodos interoclusais convencionais.
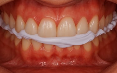
O DVR-Sensy atua como um estabilizador de fechamento mandibular, e não como um espaçador.
Sua geometria apresenta altura progressiva — mais baixa na região posterior e gradualmente elevada na anterior — e estrutura deformável que permite microdeslizamentos sem bloqueio muscular.
O material de baixa resistência possibilita a continuidade da propriocepção durante o fechamento, de modo que o movimento mandibular não é interrompido, mas guiado fisiologicamente até que ocorra o silêncio neuromuscular — o ponto em que a atividade dos músculos elevadores atinge estabilidade e cessação funcional.
A principal diferença entre o DVR-Sensy e os dispositivos convencionais está na forma como o sistema neuromuscular é envolvido no processo de registro.
Enquanto os métodos tradicionais impõem uma posição, o DVR-Sensy permite que o próprio sistema determine sua posição de repouso.
Durante o fechamento com o DVR-Sensy, o paciente realiza um movimento natural e não forçado.
Esse movimento é interpretado pelo sistema sensorial periodontal e muscular, que ajusta o tônus e busca espontaneamente o equilíbrio fisiológico.
Quando a musculatura atinge o silêncio neuromuscular, a mandíbula estabiliza-se tridimensionalmente — e essa posição é registrada de forma direta e física.
Assim, o DVR-Sensy não mede uma uma distância linear; ele registra a relação espacial tridimensional entre as arcadas no momento de repouso fisiológico.
O DVR-Sensy introduz um conceito diferente de registro: não a captação de uma medida, mas a tradução de uma posição espacial fisiológica.
O espaço funcional de repouso é individual, resultante de um equilíbrio complexo entre músculos, articulações e dentes.
Sua tridimensionalidade é determinada pelas microvariações das cúspides, planos oclusais e trajetórias condilares.
O resultado é um registro tridimensional estável e transferível, que reflete o comportamento fisiológico real do sistema estomatognático.
Na prática clínica, o uso do DVR-Sensy resulta em dispositivos com alto grau de compatibilidade fisiológica e menor necessidade de retrabalho clínico.
O equilíbrio oclusal obtido tende a ser mais previsível, pois deriva de uma posição mandibular não induzida.
Essa previsibilidade se traduz em melhor adaptação inicial, menor necessidade de ajustes corretivos e maior estabilidade funcional no uso prolongado.
Esses resultados decorrem diretamente do controle fisiológico do registro, e não de ajustes compensatórios pós-fabricação.
O DVR-Sensy redefine a forma como a dimensão vertical de repouso é compreendida e registrada.
Ao substituir a imposição mecânica por uma abordagem fisiológica e sensorial, ele transforma o registro em um processo de revelação — e não de indução.
O resultado é um método reprodutível, fundamentado em bases neuromusculares e geometricamente coerentes, que estabelece um novo padrão técnico para a obtenção da DVR em odontologia clínica.








Se você deseja entender mais sobre o protocolo e a transferência de tecnologia por trás dele, baixe gratuitamente o Livro de Apresentação do DVR-Sensy.
É o primeiro passo para elevar sua prática a um novo nível de precisão e excelência.
+55 61993430804
© 2025. All rights reserved.
LOCALIZAÇÃO:
MIX PARK SUL
SGAS 910 BLOCO D SALA 145
ASA SUL - BRASÍLIA
ACESSE O WHATSAPP PARA VER O CATÁLOGO DE PREÇOS E A AGENDA.
Ortoscience é marca registrada
Polyceram é marca registrada
Dr. José Roberto Fernandes
Especialista em tratamentos complexos
Graduação pela Universidade Federal de Uberlândia
Título de Ortodontista e Ortopedista Facial pela Universidade Federal de Mato Grosso do Sul.
CRO-DF: 3938 - IE:2269
Arquimedes System é marca registrada
